-
日期: 2023-10-27 | 來源: 英國那些事兒 | 有0人參與評論 | 字體: 小 中 大
估計人人都有吃東西時不小心咬到舌頭、嘴唇或者腮幫子的經歷。不過碰到這種情況時,大多數只會長出壹塊口腔潰瘍,而腔黏膜的修復能力又比較強,忍幾天也就好了,不會有太嚴重的後果。
但是最近,《美國病例報告雜志》報告了兩起非常罕見的病例。
兩名孕婦都因為吃東西咬到嘴,導致意想不到的後果——腫瘤......
(報告題目為《妊娠期罕見的口腔血管瘤:提供患者臨床護理觀察的系列病例》)
孕婦A來自沙特阿拉伯,26歲,她在吃東西時咬到了下嘴唇右側的位置,出現壹個非常小的傷口。
之後傷口的位置出現了增生,壹開始是很小的壹個腫塊,後來慢慢長大,長成了壹個約1.8厘米大小的腫塊,像壹個小肉球掛在嘴唇上,時不時還會流血。
(孕婦A嘴唇上的腫塊)
無獨有偶,同樣是在沙特阿拉伯,43歲的孕婦B遇到了類似的情況。
她吃飯時不小心咬到舌頭,大約兩個星期之後,傷口的位置長出壹個不太規則的肉球狀腫塊,直徑大約0.76厘米。
(孕婦B舌頭上的腫塊)
兩位孕婦都被確診為毛細血管瘤,簡單來講就是毛細血管異常生長造成的,皮膚上會出現紅色或紫色的凸起。
這種病常見於頭部和頸部,因為這些位置都有大量的血管,長在嘴上的則比較少見。
醫生分析,嘴唇和舌頭受傷後,組織損傷會引發新血管的突然生長,試圖修復傷口,但過程中可能會出岔子,出現過度生長的情況。
而女性懷孕時體內的雌激素水平較高,又會促進血管生長,這就增加了患上毛細血管瘤的風險。
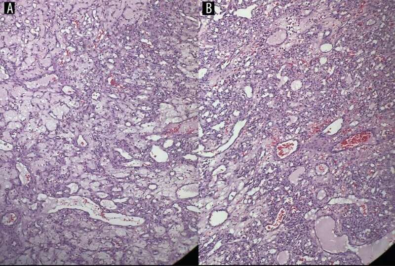
(孕婦A的病例檢測結果)
只不過,出現在嘴唇和舌頭上的毛細血管瘤非常少見,只有叁個病例記錄。
這種“少”不僅僅是發病率的原因,也跟是否能確診有關。
嘴唇上長腫瘤的病例記錄本來就比較少,這是因為嘴唇上的腫塊經常被誤診為化膿性肉芽腫(壹種良性的皮膚增生,會出現又小又紅的腫塊),沒有被記錄下來。
相對而言,舌頭上長腫瘤的的病例記錄會更多壹些,因為舌頭上血管數量更多。
(唇部的化膿性肉芽腫,示意圖)
不幸中的萬幸是,兩名孕婦的毛細血管瘤都是良性的,且能通過手術治愈。
在看醫生之前,孕婦A嘴唇上的小肉球已經長了4個月。
手術時她到了孕晚期,醫生給她進行了局部麻醉,將嘴唇上的小肉球切除。
出院後,她接受了抗生素治療以防止感染。
壹周後復查,醫生確認她的嘴唇愈合狀態良好。
(孕婦A手術後)
孕婦B來診時處於孕中期,醫生也通過手術把她舌頭上的腫塊切除了,結果很成功。
(孕婦B手術後)
幸好兩位孕婦最後都有驚無險,
希望這樣的病例記錄能給研究人員提供更多信息,
讓他們找到更好的方法,以後幫助其他的患者......- 新聞來源於其它媒體,內容不代表本站立場!
-
原文鏈接
原文鏈接:
目前還沒有人發表評論, 大家都在期待您的高見