-
日期: 2014-03-17 | 來源: 中國網 | 有0人參與評論 | 專欄: 健康新聞 | 字體: 小 中 大
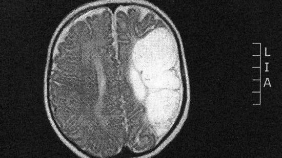
當我們看到傑克・格萊斯頓的時候,我們不會想到,眼前這個小男孩只有半個大腦是可以活著的。當他只有六個月大的時候,醫生們就發現了這個異常現象,並提醒孩子的父母他長大後可能無法走路,無法說話。然而,傑克卻打破了這個預言。現在已經肆歲的他完全可以像其他孩子那樣正常的生活。“這實在不可思議”,孩子母親薩拉表示。

傑克在嬰兒期時拍攝X光照片顯示,孩子的大腦只有壹半能夠進行活動,所有人都認為他不可能正常的成長。但是事情並沒有想他們想的那樣糟糕,傑克長的很壯實,身體健康,也可以像其他同齡孩子那樣正常的奔跑。“這太神奇了。”孩子的家人對此也感到很驚喜。
醫生表示,傑克這種病在醫學上講是腦軟化,並認為這壹半的大腦不會再生長。醫生將這種情況歸咎於子宮受到沖擊導致的氧氣不足,但是幸運的是這個孩子並沒有缺少基本的生理功能,仍然可以正常的走路和說話。當然盡管這樣,傑克還是時時需要有家人的看護,並且吃飯穿衣都需要幫助。- 新聞來源於其它媒體,內容不代表本站立場!
-
原文鏈接
原文鏈接:
目前還沒有人發表評論, 大家都在期待您的高見