-
日期: 2018-12-27 | 來源: 英國那些事兒 | 有0人參與評論 | 字體: 小 中 大
話說每到年底,總會出現各種奇奇怪怪的年度總結,
比如最近,美國消費者安全協會(U.S. Consumer Product Safety Commission's (CPSC) ),
發布了壹份看起來有點奇葩的年度總結——
CPSC盤點了壹下美國各大醫院急診室訪問的數據庫,然後列出了……
"早已過去的2017年裡,美國人民的身體裡都被卡了什麼東西。"

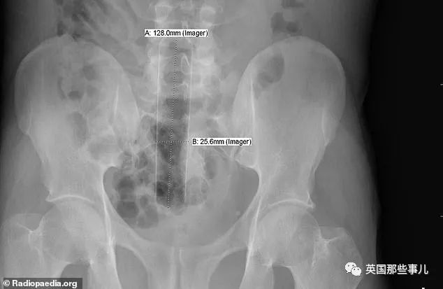
可以說,上至鼻孔,下至菊花....但凡是身上有孔的地方,
就會有人忍不住手欠往裡面塞東西...
結果壹般就是悲催的...卡住了...然後進急診……
從小小的SD卡到壹整瓶洗發水,沒有做不到,只有想不到....
根據CPSC的統計,直腸,是大家最“偏愛”往裡面塞東西的....
比如:
“噴霧罐子”

“長約13cm的金屬雪茄管”

“莫名其妙的壹個瓶子”

- 新聞來源於其它媒體,內容不代表本站立場!
-
原文鏈接
原文鏈接:
目前還沒有人發表評論, 大家都在期待您的高見