-
日期: 2021-04-09 | 来源: 加西网 | 有0人参与评论 | 字体: 小 中 大
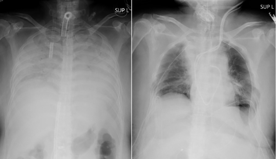
(加西网综合)日本医生周四宣布,他们已经成功进行了世界上第一例新冠患者活体肺移植手术!
京都大学医院在一份声明中说,这名日本西部关西地区女性的接受者,在周三进行了将近11个小时的手术,目前正在康复。
报告说,她的丈夫和儿子分别捐赠了部分肺,目前三人状态均稳定。
该大学表示,这是世界上首次将活体捐献者的肺组织移植给肺损伤新冠患者。
在日本,来自脑死亡捐献者的移植手术仍然很少,因此活体捐献者被认为是患者更现实的选择。
“我们证明了(从活着的供体中)我们现在可以进行肺移植,”负责这项手术的医院胸外科医生Hiroshi Date博士在新闻发布会上说。
他说:“我认为这是一种给COVID-19严重肺损伤的患者带来希望的治疗方法。”
京都大学指出,在美国,欧洲和中国,已经进行了数十次脑死亡供者肺部移植到COVID-19相关性肺损伤患者的手术。但是,这次的活体肺移植手术,是第一次。
据悉,该女子在去年年底感染了COVID-19,呼吸困难,病情迅速加重。由于她的肺部严重受损,她在另一家医院接受人工肺生命支持机器的治疗长达3个多月。
- 温哥华网版权所有,未经授权或许可,严禁转载或摘录
-
原文链接
原文链接:
目前还没有人发表评论, 大家都在期待您的高见